Kieferorthopädie
2. Diagnostik
Vor jeder kieferorthopädischen Behandlung muss ein genauer Behandlungsplan erstellt werden. Erst nach der Analyse bestimmter Einzelbefunde kann die exakte Diagnose gestellt werden und danach die Behandlungsmethode und die einzelnen Therapieschritte ausgewählt werden.
Folgende Befunde sind für die kieferorthopädische Diagnose wichtig:
Anamnese und klinische Befundaufnahme

Bestimmte Angewohnheiten wie Schnuller- und Daumenlutschen werden erfragt, außerdem interessieren Vorkrankheiten wegen ihres möglichen Bezugs zu Zahnstellung, Zahnentwicklung und eventuellen Zahnschäden, aber auch zur geplanten kieferorthopädischen Behandlung.
Es erfolgt eine Untersuchung innerhalb (Zähne und Zahnfleisch, Zahnputzverhalten, Schluckmuster) und außerhalb des Mundes (Lippenhaltung, Gesichtsprofil).
Erstellen von Kiefermodellen

Nach Abformung von Ober- und Unterkiefer und Feststellen der Bisslage werden Zahnmodelle aus Hartgips hergestellt. Diese werden analysiert und vermessen (Symmetrievergleich, Zahnformen, Platzberechnung usw.), wodurch das genaue Ausmaß der Fehlstellung festgestellt werden kann.
Sie zeigt Ober- und Unterkiefer mit allen Zähnen, einschließlich der noch nicht durchgebrochenen, in Entwicklung befindlichen Zähne. Fehlende oder überzählige Zähne, Verlagerungen, Wurzelbildung und Entwicklungsstand sind erkennbar.

Einzelzahnaufnahme
Manchmal ist für Detailinformationen zusätzlich das Bild eines Einzelzahnes erforderlich (genaue Lagebestimmung verlagerter Zähne, Kariesdiagnose etc.)
.jpg)
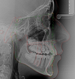
Seitliche Fernröntgenaufnahme
Durch eine seitliche Aufnahme des Schädels erhält man Informationen über den Aufbau des Gesichtes, Beziehung der Kiefer zueinander sowie zur Schädelbasis, über die Wachstumsrichtung der Kiefer und die Neigung der Frontzähne. Durch spezielle Vermessung der anatomischen Strukturen ergeben sich wichtige Hinweise für die Therapieplanung und den Behandlungsablauf.

Handwurzelröntgen
Für kieferorthopädische Behandlungen ist es notwendig zu wissen, wie viel Kieferwachstum des Patienten noch erwartet werden kann. In wenigen Fällen ist eine exakte Beurteilung des Wachstumsstadiums erforderlich, was am besten anhand bestimmter Wachstumsfugen des Handskeletts erfolgt.
Fotografien
Gesichtsfotos
Sie sind zur Dokumentation und für ästhetische Überlegungen notwendig, da Veränderungen der Bisslage und der Stellung der Schneidezähne Veränderungen des Gesichts- und Lippenprofils mit sich bringen können.
Mundfotos
Sie geben zusätzlich zu den Kiefermodellen genaue Auskunft über Stellung und Zustand der Zähne vor Behandlungsbeginn (Entkalkungen, Farbveränderungen) sowie über den Zustand des Zahnfleisches (Entzündungen bei schlechter Mundhygiene usw.).

