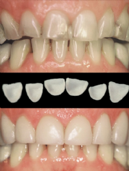
Verblendschalen / Veneers
Sind die Oberflächen der Schneidezähne besonders missfärbig, so kann die oberste Schicht abpräpariert werden und durch Verblendschalen aus Porzellan ersetzt werden. Dabei sind auch leichte Formverbesserungen möglich.Das Foto zeigt die Situation vor und nach der Restauration mittels Keramik-Veneers.
