Wurzelbehandlungen / Endodontie

Im Zahninneren befinden sich Nerven und Blutgefäße. Sind diese durch Entzündungen, Verletzungen oder ähnliches so geschädigt, dass eine Erholung nicht mehr möglich ist, droht eine Vereiterung dieser Hohlräume.

Beherdungen um die Wurzelspitze mit Schwellung und Schmerzen können folgen. Um so einen Zahn zu erhalten, muss das Gewebe aus den Hohlräumen (Wurzelkanäle, Zahnmarkhöhle) entfernt werden, von allen Verunreinigungen (Bakterien!) gesäubert werden und dann dicht verschlossen werden.

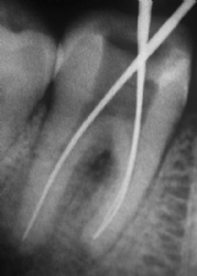
Wurzelbehandelte Zähne erfüllen oft noch jahrzehntelang ihre Aufgaben und sind meist nur im Röntgenbild von anderen zu unterscheiden.
Ordinationszeiten
Hier gelangen Sie zu unseren Ordinationszeiten.
Gratiszahnspange
Als besonders qualifizierte kieferorthopädische Praxis haben wir einen Kassenvertrag für die "Gratiszahnspange".